Courtesy: Kaye Wilkins MD, Lynn Staheli MD www.global-help.org
-Paediatric Trauma
Diagnosis of NonAccidental Trauma in Children
Courtesy: Radiology MasterClass
Radial neck and Olecranon fractures in children
Courtesy: Kaye Wilkins MD Prof Lynn Staheli www.global-help.org
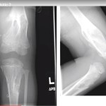
Monteggia fractures in Children
Courtesy: Kaye Wilkins MD and Lynn Staheli MD Monteggia fracture-dislocation in Children Definition A Monteggia lesion consists of: Ulna fracture (or plastic deformation) Radial head dislocation Important Note Term “Monteggia lesion” is preferred: Includes both fracture and dislocation components Historical Background Classified by José Luis Bado (1954) Bado classification: Most widely used clinically Bado […]
Forearm fractures in children
Courtesy: Kaye WIlkins MD Lynn Staheli MD www.global-help.org
Overview of Paediatric fractures
Courtesy: Kaye Wilkins MD Lynn Staheli MD www.global-help.org Pediatric Fractures – Basic Principles 1. Why Pediatric Fractures Are Unique A child is not a miniature adult. Pediatric fractures differ because children have: Increased osteogenic potential Faster healing Greater remodeling capacity These unique biological characteristics influence: Fracture patterns Healing behavior Treatment principles 2. Basic Bone […]
Fractures of Distal Radius and Ulna by Kaye Wilkins MD
Courtesy: Kaye Wilkins and Global Health www.global-help.org Distal Radius & Ulna Fractures in Children Epidemiology Account for ~25–30% of all pediatric fractures Most common fracture in children Peak Age Boys: 13–14 years Girls: ~10 years Growth Contribution Distal radial physis: ~75–80% of radial growth Risk Growth arrest: ~4% Key Clinical Principle Always Assess Entire […]
Complications of Elastic Nailing in Children
Courtesy: Shital Parikh, Taral Nagda, Ashok Shyam, IORG, OrthoTV
Fracture mimickers
Courtesy: Shital Parikh, Taral Nagda, IORG, OrthoTV Fracture Mimickers in Children (Pediatric Radiology Pitfalls) 1. Overview Pediatric X-rays often show normal variants mimicking fractures Common causes: Ossification centers Physeal anatomy Growth-related changes Key Principle Always correlate with: Clinical findings Contralateral X-ray 2. Physiological Periosteal Reaction (Periostitis of Infancy) Epidemiology Age: < 4 months Seen […]
Paediatric Femoral Neck Fractures
Courtesy: Manoj Padman, Ashok Shyam, IORG, OrthoTV
Remodeling of fractures in children
Courtesy: Ashok Shyam, IORG, OrthoTV
Medial Epicondyle Fractures
Courtesy: Ashok Shyam, IORG, OrthoTV Medial Epicondyle Fracture (Pediatric Elbow) Epidemiology Accounts for ~10% of pediatric elbow fractures Common age group: 8–15 years (adolescents) Less Common Than Supracondylar fractures Lateral condyle fractures Mechanism of Injury 1. Avulsion Injury (Most Common) Mechanism: Fall on outstretched hand (FOOSH) 2. Associated with Elbow Dislocation Common association 3. […]
Supracondylar Humeral Fractures in Children
COurtesy: Ashok Shyam, IORG, OrthoTV
Supracondylar Humerus Fracture in Children : Arm Board Technique
Courtesy: Dr Sandeep Patwardhan. Dr Ashok Shyam, Pune
Sports Shoulder- Injuries in Children
Sports Shoulder Injuries in Children Epidemiology Common Sports Associated Football (especially defensive players) Wrestling Basketball (males) Softball, gymnastics, cross-country (females) Extreme sports: Skateboarding Skydiving Key Point Limited high-quality epidemiological data Need for: Registries and better tracking systems Common Injury Patterns 1. Medial Clavicle Epiphyseal Injury Population Adolescents Key Concept Often a physeal fracture, […]















