Courtesy – Dr Sanjeev Madan, Dr Ashok Shyam, Ortho TV
-Paediatric Trauma
Complete Physeal Separation Of Lower Humerus
Courtesy Dr Chasanal Rathod, Dr Ashok Shyam, Ortho TV Definition Pediatric fractures and injuries are classified based on: Mechanism of injury Pattern of fracture Involvement of growth plate Severity and displacement Common Pediatric Fracture Classifications Growth Plate (Physeal) Injuries Most important in children. ? Salter-Harris classification Types: Type I – Through physis only Type […]
Pelvic Injuries In Children
Courtesy: Dr. Alvin Crawford, Dr Ashok Shyam, Ortho TV
Monteggia Fractures- Staying Away From Trouble
Courtesy: Dr. Alvin Crawford, Dr Ashok Shyam, Ortho TV Monteggia fracture-dislocation – Practical Concepts & Management Definition Injury consisting of: Fracture of ulna Dislocation of radial head Key Principle (Most Important Point) “Ulna is the key to management” Proper ulnar alignment – spontaneous reduction of radial head Focus should be on: Restoring ulna anatomy, […]
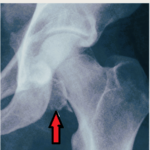
Femoral Neck Fractures In Children
Courtesy: Dr Ashok Shyam, Dr. Alvin Crawford, Ortho TV Pediatric Femoral Neck Fractures Overview Rare injuries accounting for approximately 1% of pediatric orthopedic fractures Usually caused by high-energy trauma Trivial trauma should raise suspicion for: Pathological fracture Insufficiency fracture Common Pathological Causes Unicameral bone cyst Chondroblastoma Osteosarcoma Epidemiology More common in boys Incidence in […]
ABCD of Physeal Injuries
Courtesy: Dr Ashok Shyam, Dr. Vijay Sriram, Ortho TV
Elastic Nails : Where They Work & Where They Won’t
Courtesy: Dr Ashok Shyam, Dr. Shital Parikh, Ortho TV
Spine Injuries In Children
Courtesy: Dr Rishi Kanna, Dr Ashok Shyam, Ortho TV
TENS
Courtesy: Dr. James Hui, Dr Ashok Shyam, Ortho TV
Do Not Neglect The TRASH
Courtesy: Dr. Shital Parikh, Dr Ashok Shyam, Ortho TV
Nailing Technique, in Pediatric Forearm Fractures
Courtesy: Dr. Alaric Aroojis, Dr Ashok Shyam, Ortho TV
Femoral Fractures in Children
Courtesy: Nirav Pandya MD, Associate Professor, UCSF, SanFrancisco, California
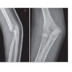
Pediatric Supracondylar Fractures of the humerus
Courtesy: Prof Nabil Ebraheim, University of Toledo, Ohio, USA
Distal Femur Physeal Fractures
Courtesy: Prof Nabil Ebraheim, University of Toledo, Ohio, USA Distal Femoral Physeal Fractures (Pediatric) Overview Injury to the distal femoral physis in children One of the most important pediatric knee injuries Clinical Importance High risk of growth arrest (~50–60%) Risk increases with: Displacement High-energy trauma Key Clinical Point In children presenting with: Suspected MCL/LCL […]
Paediatric ACL tears and Tibial Spine Fractures
Courtesy: Prof Shital Parikh, Professor, Cincinatti Childrens Hospital, Cincinatti, Ohio, USA Pediatric ACL Tears & Tibial Spine Fractures – High-Yield Notes Pediatric ACL Tear Natural History (IMPORTANT) Non-operative – poor outcomes instability meniscal tears return to sports Delay > 12 weeks – irreparable meniscus injury Conclusion: Early surgical management preferred Assessment of Skeletal Maturity Methods: […]














