Rafael Inigo Pavlovich, MD, PhD, FACS*, *Head of the Knee Center Orthopedica Javier Lozano Pardinas,MD, CEO of CYMOT! Mexico,City. MX. Address: Centro Medico de Rio Suites 6 & 7 Proyecto Rio Sonora, Hermosillo, Sonora, Mexico CP 83280 Abstract: Radio frequency and meniscal tissue have been related to resection in arthroscopic meniscectomy procedures. Radio […]
Instructional Course Lectures
Arthroprosthetic Cobaltism
Cobalt poisoning by hip replacement: Arthroprosthetic-Cobaltism Stephen Tower, MD, University of Alaska, Alaska, USA Cobalt, in excess, has the potential to block oxidative metabolism at the mitochondrial level. The peripheral and central nervous systems, the heart, and the thyroid gland are variably compromised whether the means of cobalt exposure is iatrogenic (use of cobalt chloride […]
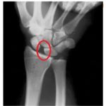
Scapholunate dissociation
SCAPHOLUNATE DISSOCIATION Rajesh Purushothaman, MS, Associate Professor, Govt.Medical College, Kozhikode, India According to Dobyns, carpal instability is “a carpal injury in which loss of normal alignment of the carpus occur early or late”. . Scapholunate dissociation (SLD) is the most common type of carpal instability. It is the most common instability pattern because the intercarpal […]
Idiopathic Scoliosis
IDIOPATHIC SCOLIOSIS Rishi Mugesh Kanna, MS, MRCS, FNB(spine), Spine Surgeon, Ganga Hospital, Coimbatore, India Introduction Scoliosis refers to lateral curvature of the spinal column of more than 10 degrees when observed through an antero-posterior radiograph of the spine. There are different causes of scoliosis and the causes vary depending on the age of onset. In […]
Clinical Examination of Lower Limb Deformity
Clinical Examination of Lower Limb Deformity Rajesh Purushothaman, Associate Professor, Medical College, Kozhikode, India When a child is born, it has 10-15 degrees of physiological genu varum, 5 degree internal tibial torsion and external rotation contracture of the hip. It reaches the maximum by about 9-12 months. This usually gets corrected to neutral by […]
Asceptic Nonunion of Tibia- Current Best Evidence
Management of Aseptic nonunion of tibia Aetiology: Nonunion following fracture tibia is a common orthopaedic problem. The presence of infection and bone loss will complicate the management of these fractures Soft tissue damage and periosteal stripping are common in high velocity and open injuries and this can compromise the vascularity to the soft tissues around […]
Current Concepts in IM Nailing of Femoral Shaft fractures
CURRENT CONCEPTS IN INTRAMEDULLARY (IM) NAILING OF FEMORAL SHAFT FRACTURES Siddhartha Sharma, Hitesh Gopalan U INTRODUCTION Intramedullary (IM) nailing is one of the preferred methods for treatment of femoral diaphyseal fractures. Successful intramedullary nailing results in a short hospital stay, a rapid return of motion in all joints, prompt return to walking, and a relatively short […]
FEMOROACETABULAR IMPINGEMENT
FEMOROACETABULAR IMPINGEMENT S Saseendar, Hitesh Gopalan U Introduction ‘Femoroacetabular impingement(FAI)’ is a relatively recently described term which implies a subtle abnormality in either or both of the proximal femur and acetabulum causes interference in the normal movement between the two. However the concept of FAI is not entirely novel as Stulberg et al addressed this entity […]
SCHEUERMANN’S KYPHOSIS
SCHEUERMANN’S KYPHOSIS Hitesh Gopalan U, Senthilnathan T, Ramesh Dalwai, Shamsul Hoda Introduction Scheuermann disease is a structural kyphosis of the thoracic or thoracolumbar spine, of unknown aetiology, is characterized by vertebral body wedging, thoracic kyphosis of > 40° & > 5° of anterior wedging of 3 consecutive adjacent vertebral bodies at the apex of the […]






