Courtesy: Prof William Levine, Past President, ASES Historical Evolution of Shoulder Arthroplasty Professor Levine outlined six innovation eras. Era 1: Early Shoulder Arthroplasty (Late 1800s–1950s) Themistocles Gluck (Germany) First shoulder arthroplasty Modular ivory prosthesis Not widely recognized at the time Jules Péan (France) First documented shoulder replacement (1893) Two-stage procedure Ultimately failed due to infection […]
-Shoulder and Elbow Arthroplasty
Shoulder Replacement
Courtesy – Prof Angus Wallace, Dr Ashok Shyam, Ortho TV
Total Elbow Replacement
Courtesy – Prof. Pierre Mansat, Dr Ashok Shyam, Ortho TV
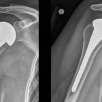
Proximal Humerus Fractures
Courtesy – Dr Ashish Babhulkar, Dr Ashok Shyam, Ortho TV
Revision Shoulder Arthroplasty
Courtesy Dr. Ashish Gupta, Dr Ashok Shyam, Ortho TV
Algorithm for Anatomic Total Shoulder Arthroplasty
Courtesy: Dr Sarav Shah MD, FAAOS New England Baptist Hospital, Boston, MA
Preoperative Planning in Shoulder Arthroplasty
Courtesy: Dr Adeeba Albadran, MD Assistant Professor, Princess Nourah Bint Abdulrahman University, Riyadh, Saudi Arabia
ScapuloThoracic Orientation during Pre-Op planning in Reverse Shoulder Arthroplasty
Courtesy: Philipp Moroder MD, Zurich, Switzerland
Reverse Shoulder Arthroplasty for Proximal Humerus Fractures
Courtesy: Nicola Archetti Netto MD, Sao Paolo, Brazil
Preop Planning and Mixed Reality in Reverse Shoulder Arthroplasty
Courtesy: Achilleas Boutsiadis MD, PhD, Athens, Greece
Glenoid Reconstruction Options in Shoulder Arthroplasty
Courtesy: Alexander Ladermann, Zurich, Switzerland
3D Planning and Mixed Reality in Shoulder Arthroplasty
Courtesy: Ms. Ruth Delaney, MB BCh, MMedSc, FFSEM, FRCS Founder, Dublin Shoulder Institute Consultant Orthopaedic Surgeon, Shoulder Surgery Specialist, Associate Professor Introduction to Mixed Reality What Is Mixed Reality? Mixed reality is a technology that blends the real physical world with digitally generated content. It allows surgeons to interact with virtual objects while remaining […]
Reverse Shoulder Arthroplasty in Fractures- Tips and Tricks
Courtesy: Kerem Bilsel MD, Secretary General, Turkish Shoulder and ELbow Society
Scapular Fractures after Reverse Shoulder Arthroplasty
Courtesy: Dr Vahid Entezari, Cleveland Clinic, Asst Professor in Shoulder Surgery
Management of Complications in Reverse Total Shoulder Arthroplasty
Courtesy: Dr Thomas Quin Throckmorton, Campbell Clinic Professor, Chief Editor- #AAOS-OrthoInfo REVERSE SHOULDER ARTHROPLASTY Birth of the Modern RSA ” Paul Grammont, Lyon France, 1980’s Constrained shoulder with medialized center of rotation Converts shear forces to compressive forces across glenoid implant – bone interface Outcomes • Average forward elevation 100-134 degrees • Patients do not […]













