Answer: https://bit.ly/orthomcq3 (Copy and Paste in Browser)
Image Quiz
Image Quiz 17
Follow our twitter handle for the right answer, Click here
Image Quiz 16
Follow our twitter handle for the right answer, https://bit.ly/imagequiz16
Image Quiz 19
Answer: https://bit.ly/imagequiz19
Image Quiz 18
Answer: https://bit.ly/imagequiz18
Image Quiz 15
Follow our Twitter handle for the Right Answer, http://bit.ly/imagechallenge15
Image Quiz 14, #Evidence Case Study
Popular Answer may not imply right answer, Follow our twitter handle for the right answer, Answer
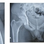
Image Challenge 13, Paediatric #Hip
Popular Answer may not imply right answer, Follow our twitter handle for the right answer, Click for Answer
Image Challenge, #Hip Trauma
Popular Answer may not imply right answer Follow our twitter handle for the right answer, www.twitter.com/drhiteshg
Image Challenge 11, #Oncology
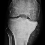
24 year old man presented with pain and swelling in the knee for the past 3 months. Popular Answer may not imply right answer, follow our twitter handle for the right answer, www.twitter.com/drhiteshg Write your comments and explanations in the section below.
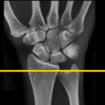
Image Quiz 10 #Wrist
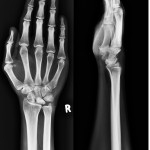
What are your treatment options? Use the Poll and write your answers in the Comments section below. Popular Answer may not imply right answer. Follow our twitter handle for the right answer, https://twitter.com/drhiteshg/status/567308751305076736?s=01
Image Quiz 9
Popular Answer may not imply right answer. Follow our twitter handle for the right answer, https://bit.ly/3CoX2vB
Image Quiz 8
Popular Answer may not imply right answer. Follow our twitter handle for the right answer, www.twitter.com/drhiteshg
Image Quiz 7
Image Quiz 6
Popular answer may not imply right answer. Answer will be published by the end of the month. Courtesy : Dr Nadeem Ali, MS Orth, Srinagar, Jammu and Kashmir, India















