Courtesy: Dr A Gomoll, Ashok Shyam TV, Ortho Clinical Context First-time patellar dislocators traditionally require surgery only when a loose body is present. However, many patients present with: Cartilage defects on magnetic resonance imaging. No loose body. Unclear indication for surgery. Key question:When should patellofemoral cartilage defects be treated surgically? Incidence of Patellofemoral Cartilage Defects […]
-Knee Preservation
Radiographic Criteria for Optimum TKR
Courtesy: Dr S Macdonald, Ashok Shyam TV, Ortho Don’t Forget Pre-Operative Evaluation Before analyzing a painful postoperative knee, always revisit: Was TKA truly indicated? Was there clear bone-on-bone osteoarthritis? Could pain have originated elsewhere (e.g., hip)? Key Clinical Lesson Mild radiographic knee arthritis + severe hip arthritis ? knee replacement will not solve the pain. […]
Knee Extra Articular Deformity Correction
Courtesy: Dr S Macdonald, Ashok Shyam TV, Ortho Significant extra-articular deformities are relatively uncommon in many Western practices but may be more frequently encountered in post-traumatic populations. Common causes include: Malunited fractures Prior osteotomies Metabolic bone disease (e.g., Paget’s disease) The challenge is achieving proper limb alignment without compromising ligament stability. Three Treatment Options When […]
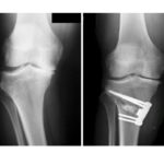
Osteotomy for Complex Knee Pathology
Courtesy: Dr Alan Getgood, Ashok Shyam, Ortho TV Introduction The session focuses on practical concepts in knee osteotomy, using real clinical cases to illustrate decision-making. Osteotomy remains an important procedure for young, active patients with malalignment and compartmental knee pathology. Revisiting fundamental principles is valuable because: These procedures can be technically demanding. Proper patient selection […]
Complex Meniscus Repair-Live Surgery
Courtesy: Dave Lee, Ashok Shyam, Ortho TV Arthroscopic Management of Medial Meniscus Tear with Parameniscal Cyst Patient Presentation A female patient in her thirties presented with right knee pain for three years. Symptoms began after a fall from a motorbike. Complaints included: Pain during standing and walking Pain while climbing stairs Night pain The patient […]
Meniscal Tears In Arthritis Knees
Courtesy Dr Elmar Herbst, Dr Ashok Shyam, Ortho TV
What is Normal & Deformity
Courtesy Dr Matthieu Ollivier, Dr Ashok Shyam, Ortho TV
HTO In Abnormal Tibial Slope
Courtesy Dr Frank Noyes, Dr Ashok Shyam, Ortho TV
Early Arthritic Knee
Courtesy Dr Vijay Bose, Dr Ashok Shyam, Ortho TV
Periarticular Osteotomy For Knee Pathology
Courtesy Dr David Parker, Dr Ashok Shyam, Ortho TV
Digital Templating and Patient-Specific Instrumentation in Osteotomy
Courtesy: Dr Anil Ranawat, Dr Ashok Shyam, Ortho TV
Tibial Slope Changing and Tubercle Osteotomy
Courtesy: Dr Anil Ranawat, Dr Ashok Shyam, Ortho TV
Rotational Osteotomy : Difficulty with Torsional Deformities
Courtesy: Dr George Rick, Dr Ashok Shyam, Ortho TV
Knee Arthritis, Causes, Symptoms, Diagnosis and Treatment
Courtesy: Prof Nabil Ebraheim, University of Toledo, Ohio, USA
Knee Pain , Knee Arthritis. What is Knee Arthritis ?
Courtesy: Prof Nabil Ebraheim, University of Toledo, Ohio, USA












