Courtesy: Stephen Kurtz, Ashok SHyam, IORG, OrthoTV
-Joint Reconstruction
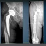
Intraoperative and Periprosthetic Fracture in Hip Arthroplasty
Courtesy: Vijay Bose, Ashok Shyam, IORG and OrthoTV
Evolution of Total Hip Replacement
Courtesy:Dr Dunn
Trunnion Corrosion in Hip Arthroplasty: Next Epidemic?
Courtesy: Stephen Kurtz, Ashok Shyam, IORG, OrthoTV
Instability following Total Hip Replacement
Courtesy: Javad Parvizi, Ashok Shyam, IORG, OrthoTV
Dislocation after Total Hip Replacement
Courtesy: CS Yadav, Ashok Shyam, IORG, OrthoTV
Role of Arthroplasty in Unstable Intertrochanteric fractures
Courtesy: Pradeep Bhosale, Ashok Shyam, IORG, OrthoTV
Cement in Cement Femoral Revision
Courtesy: Graham Gie , Barcelona Hip Meeting
Total Hip Replacement after Acetabular fracture fixation
Courtesy: Mahesh Kulkarni, Ashok Shyam, Pune Trauma Course, IORG, OrthoTV
Hip infections and the Alpha Defensin Test
Courtesy: Prof Nabil Ebraheim, University of Toledo, Ohio, USA
Cement-in-Cement techniques for Revision THA
Courtesy: Pradeep Bhosale, Ashok Shyam, IORG and OrthoTV
Tranexamic Acid in Joint Replacement Surgery
COurtesy: Dr Vasan Sinnadurai, Dr Ashok Shyam, OrthoTV and IORG
Addressing Femoral defects and Stem selection in Revision THA
Courtesy: Kirk Kindsfater DM, Ft Collins, Colorado, USA and Ashok Shyam, IORG and OrthoTV
Periprosthetic fractures after Total Hip Replacement
Courtesy: Yasser Khatib, Penrith NSW 2750, Australia
Case Discussions in Total Hip Arthroplasty
Courtesy: Rami Sorial, Thurston Gherke, Pitchai Suryanarayanan, Craig Waller; Ashok Shyam, OrthoTV and IORG














