Courtesy: Prof Nabil Ebraheim, University of Toledo, Ohio, USA
Anatomy of the Elbow
Elbow is made of following bones
Humerus, Radius and Ulna
- The lower end of the humerus have two epicondyles: lateral epicondyle and medial epicondyle
and it also has the capitellum laterally and the trochlea medially - The proximal ulna is made of the olecranon process, the trochlear notch and the coronoid process.
- The bursa lies on top of the olecranon process.
- The radius is made of the radial head , neck and radial tuberosity .
- The primary stabilizer of the elbow is the ulnohumeral joint .
- The coronoid process is the anterior buttress of the olecranon it prevents posterior dislocation of the elbow.
- fracture of the coronoid process more than 50 percent of the height will lead to elbow instability
Ligaments : Medial Elbow
Medial (ulnar) collateral ligament
MCL is composed of three bands
- Anterior
- Posterior
- Transverse Bundles
- The anterior band of MCL is the strongest primary stabilizer to valgus stress in 90 degree of flexion
- Medial Collateral Ligament originates from the posterior medial epicondyle of the distal humerus and it inserts into the sublime tubercle of the medial coronoid process
- Late cocking and early acceleration will give the highest valgus torque to the medial collateral ligament
- Deficiency of this ligament is diagnosed with valgus on moving valgus stress test.
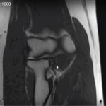
- MRI: best study to diagnose complete tear of the MCL of the elbow
- The posterior bundle of the MCL is tight in elbow flexion
- To get more flexion of the stiff elbow, release the contracted posterior band of the medial collateral ligament
Muscles On The Medial Side Of The Elbow
Pronator teres muscle and the flexor muscle group of the forearm attached to the medial epicondyle
Flexor muscle :
• Biceps Major
• Flexor Carpi Radialis
• Palmaris longus
• Flexor Carpi Ulnaris
• Triceps Brachii
Medial Elbow Nerve: Ulnar nerve
• Location : Cubital Tunnel
Posterior Elbow Muscle
- Triceps Major
Lateral Side Ligaments
- Lateral Collateral Ligament
- Lateral ulnar collateral ligament
- Accessory lateral collateral ligament
- Annular ligament
- Lateral ulnar collateral ligament is the key anatomic structure which prevents posterolateral instability
- The lateral ulnar collateral ligament acts like a sling for the radial head.
- It is located in the posterolateral aspect of the radial head.
- It arises from the lateral humeral epicondyle and it inserts into the crista supinatoris of the proximal ulna .
- The posterolateral rotatory instability of the elbow occurs with the lateral ulnar collateral ligament deficiency.
- It is diagnosed in a lateral pivot shift test
- Impaction fracture of the anteromedial coronoid facet is usually associated with LCL injury
- This will lead to posteromedial instability of the elbow
- Sometimes this fracture is not easily seen on x-rays and it can be missed
- Fracture of the coronoid process can also be a part of the terrible elbow triad ( an elbow dislocation associated with a coronoid fracture and radial head fracture)
Lateral Side Muscles
- extensor tendon muscles
- Extensor carpi radialis longus
- Extensor carpi radialis brevis
- Extensor carpi ulnaris
- Extensor digitorum
Anterior Elbow Anatomy
- lateral to the biceps tendon is the radial nerve
- medial to the biceps tendon in the brachial artery and median nerve
- Biceps is inserted into the radial tuberosity and above the biceps lies the radial recurrent arteries
- Branch from the musculocutaneous nerve can be commonly injured during distal biceps surgery





Leave a Reply