Courtesy: Anand Thakur, Ashok Shyam, IORG, OrthoTV
-Radiology
MRI of the Native Knee: Chondral Evaluation
Courtesy: Anil Ranawat, Ashok SHyam, IORG, OrthoTV
Ottawa Rules for Knee and Ankle
Courtesy: Anna Pickens MD, emin5.com
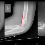
Interpretation of Elbow X-rays
Courtesy: Anna Pickens MD emin5.com
MRI Knee for Meniscal Tears
Courtesy: Dr Srijita Ghosh, Indian radiologist
Radiological Anatomy of the Shoulder
Courtesy: Sameer Qureshi, Consultant Orthopaedic Surgeon
MRI of the Knee
Courtesy: Sachin Tapasvi, Ashok Shyam, IORG, OrthoTV
Bone Lesions: Radiographic Assessment
Courtesy: Chris Beaulieu Stanford University, US
Radiographic Assessment of Bone Lesions
Part 1 of Lecture Part 2 of Lecture Courtesy: Geoffrey Riley MD, Associate Professor and Consultant Radiologist, Stanford University, USA
Radiographic Imaging of the Hip Joint
Courtesy: Christopher Beaulieu, Professor of Radiology, Stanford University, USA
How are X-rays produced?
Courtesy: Doctor Jana, Radiology Tutorials
Bone Lesions, Radiographic Assessment
Courtesy: Chris Beaulieu, Michelle Nguyen, MD Stanford University, US
Radiographic Positioning for Shoulder X rays
Courtesy: Anand Thakur, Ashok Shyam, IORG, OrthoTV
MRI Case studies of Biceps tendon and Pectoralis Major
Courtesy: RadNet Inc, Radiology Online Education
Frozen Shoulder MRI Case Studies
Courtesy:” Radnet Inc, Orthopaedic Radiology Education www.radnet.com















