Courtesy: Pradeep Bhosale, Ashok Shyam, IORG, OrthoTV
-Knee Arthroplasty
Suppression of Chronic Infection in Total Knee Replacement
Courtesy: Michael Cross MD, Ashok Shyam, IORG, OrthoTV
Correction of Extra Articular Deformity in Total Knee Replacement
Courtesy: Rajesh N Maniar, Ashok Shyam, IORG, OrthoTV
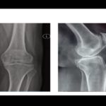
Valgus deformity in TKR
Courtesy: Guruva Reddy, Ashok Shyam, IORG, OrthoTV
Mechanical Alignment – Has Never failed us and Never will
Courtesy: Parag Sancheti, Ashok Shyam, IORG and OrthoTV
Arthrodesis or Amputation after failed Revision TKR
Courtesy: Rhidian Morgan Jones MD and Ashok Shyam, OrthoTV, IORG
Extensor Mechanism problems in Revision TKR
Courtesy: Rhidian Morgan Jones MD and Ashok Shyam, IORG and OrthoTV
Partial Knee Replacement – Current Indications and Techniques
Courtesy: Jimmy Chow MD, Ashok Shyam, IORG, OrthoTV
Effective use of Technology in Total Knee Arthroplasty
Courtesy: Neeraj Adkar, Pune and Ashok Shyam, OrthoTv and IORG
Use of Stems in Total Knee Replacement
Courtesy: Ashok Rajgopal, Fortis Hospital, NewDelhi and Ashok Shyam, IORG and OrthoTV
Medial Compartment OA Knee: HTO Vs Uni Vs TKA
Courtesy: Krishnakiran Eachampatti, Sachin Tapasvi and Panelists
Total Knee Replacement in Post traumatic Knee deformity
Courtesy: Shubranshu Mohanty, KEM Hospital, Mumbai; Ashok Shyam, OrthoTV and IORG
Long term outcomes of the Rotating Hinge Knee Prosthesis
Courtesy: Ashok Rajgopal, Ashok Shyam, IORG and OrthoTV
IntraOperative fractures and ligament injuries during TKR
Knee Arthroplasty Session: 1. Intraoperative fracture during TKR 2. Posterior condylar offset and flexion in TKR 3. Instability after TKR Courtesy: RD Chakravarthy, Harish Bhende
Surgical Approaches in Total Knee Arthroplasty
Knee Arthroplasty Session: Lecture 1: Surgical approaches in TKA Lecture 2: TKA after High Tibial Osteotomy Lecture 3: Anterior Knee Pain after TKA Courtesy: Dr Barun Dutta, Vivek Logani, Neeraj Agarwal















