Courtesy: Cholawish Chanlalit, MD, Bangkok, Thailand
-Foot and Ankle
Heel Pain in Adults
Courtesy: Jordi Sanchez- Ballester, Honorary Senior Lecturer, Liverpool, UK
Lesser Toe Deformities
Courtesy: Baljinder Dhinsa, FRCS Orth, Kent, United Kingdom
Chronic Exertional Compartment Syndrome
Courtesy: Prof Nabil Ebraheim, University of Toledo, Ohio, USA Chronic Exertional Compartment Syndrome
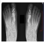
MIS Bunion Correction
Courtesy: Noman Siddiqui, Fellowship Director, Rubin Institute of Advanced Orthopaedics, Baltimore, Maryland, USA
Recent trends in Achilles Tendon Pathology and Injuries
Courtesy: Paul Kim MD, California Orthopaedics and Spine, California, USA
Morton’s Neuroma: Evaluation and Treatment
Courtesy: Turab Syed, FRCS Orth, Scotland, UK
Circular External Fixation for Deformity- Baltimore Pearls
Courtesy: Noman Sidhiqui, Course Director, Baltimore Limb Deformity Course, Consulant, Rubin Institute of Advanced Orthopaedics, Sinai Hospital of Baltimore, MD, USA
MIS Bunion Correction
Courtesy: Dr Paul Kim MD, MIS Foot and Ankle Surgeon, California Orthopaedics and Spine, California, USA
CavoVarus Feet Reconstruction
Courtesy: Anny Hsu, MD, Assistant Professor, New York Medical College, New York, USA Overview of Cavovarus Foot Deformity Cavovarus deformity is defined by: Increased Meary’s angle Dorsal apex angulation Plantarflexed first ray Varus hindfoot alignment Although an elevated Meary’s angle can be seen in up to 24% of the population, clinically significant cavovarus deformity […]
Chronic Achilles Tendon Ruptures
Courtesy: Kowshik Jain FRCS Orth, Dudley Group of Hospitals, NHS Trust, UK #
Types of Bunion
Courtesy: Prof Nabil Ebraheim, University of Toledo, Ohio, USA
Claw toe and Hammer toe
Courtesy: Prof Nabil Ebraheim, University of Toledo, Ohio, USA
Toe Deformities: Hammer Toe, Claw Toe, Mallet Toe
Courtesy: Prof Nabil Ebraheim, University of Toledo, Ohio, USA
Midfoot Charcot NeuroArthropathy
Courtesy: Prof Dane Wukich, Charles Gregory Distinguished Chair, UT South Western, Texas, USA















